play_arrow

Етери

.

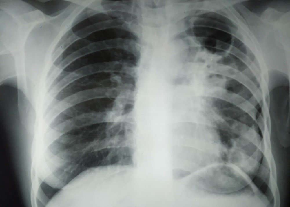
Що треба знати про туберкульоз

mic Аліка Піхтерева today05.03.2026

Тло
  • cover play_arrow

    Що треба знати про туберкульоз Аліка Піхтерева


У березні розпочався Місячник обізнаності про туберкульоз. Запитали в генеральної директорки Харківського обласного центру контролю та профілактики хвороб Любові Махоти про те, що треба знати кожному дорослому про убезпечення себе й дитини. Чи досить вакцин БЦЖ, проти грипу, коронавірусу й гепатитів? Прості алгоритми, що можуть урятувати життя.


Етери

0%